Üdvözöljük a Lósántaság honlapon!
A honlap azért jött létre, hogy kellő mennyiségű információt találhasson minden lótartó, akinek sántít a lova. Felvázoljuk a vizsgálat lépéseit pontról pontra, számos sántaságot okozó betegséget és kezelési lehetőséget elmagyarázunk.
Nagyon komoly betegség és bizonyos esetei csak nagyon kis százalékban gyógyulnak meg teljesen. Esetenként állandó sántasággal járhat.
Kialakulása hátterében a nagyon lerövidített sarokfal vagy a hosszúra hagyott hegyfal szerepet játszhat. Éppen fordítva, mint az egyenítő szalag sérüléseinél, ahol a magas sarok és a túl rövid hegyfal lehet a kiváltó ok.
A sérülések a csüdtájéktól kezdődően egészen a pata aljáig terjedhetnek. A felső szakaszt ultrahanggal lehet vizsgálni, de az alsóbb régiók sérüléseit MR vizsgálattal lehet felderíteni. Ez a sérülés az MR vizsgálatok egyik legfontosabb indikációja, mivel tüneteiben teljesen megegyezhet a patahenger szindrómával és a pataízület oldalsó szalagjainak sérüléseivel, elkülönítésük enélkül lehetetlen.
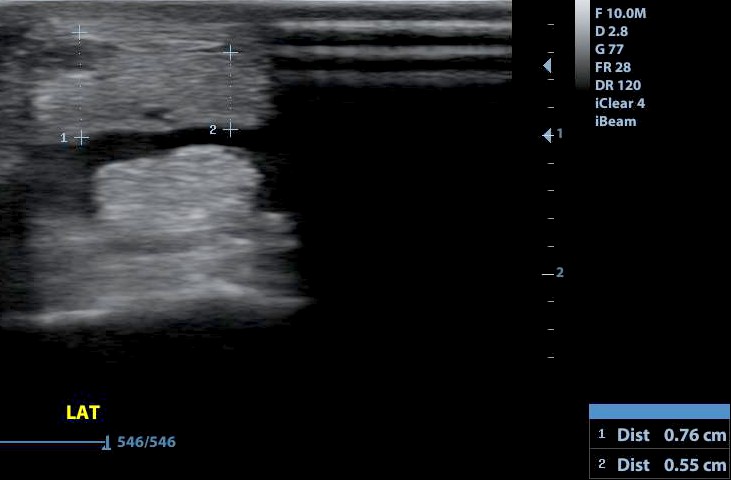
A mély ujjhajlító ín csüd alatti sérülése bejelölve. A mérés alapján a keresztmetszet 11 százalékát érintő sérülés.
A kezelés alapja a kontrollált mozgatás. A rehabilitáció kezdetén emelt szárú gyógypatkót is alkalmazhatunk, csökkentve az ínra háruló feszülést. Mivel ez kétélű fegyver - hiszen a többi inat épphogy túlterheli -, ezért csakis ebben az időszakban érdemes használni!
Az orvosi kezelések közül a legmodernebb az őssejt kezelés. Nagyon népszerű és jól működik a PRP kezelés is. A fizioterápiák közül a lökéshullám-terápia (shockwave) és a lézer kezelés jöhet szóba. Az ínhüvelyen belül kialakuló sérülések esetében műtétre is szükség lehet.
A kezelés eredményessége elsősorban attól függ, hogy az ín melyik szakasza és milyen módon sérült meg. A felsőbb szakasz sérülései jobban gyógyulnak, az alsóbb részeknél csak az enyhébb elváltozások bírnak jobb prognózissal.
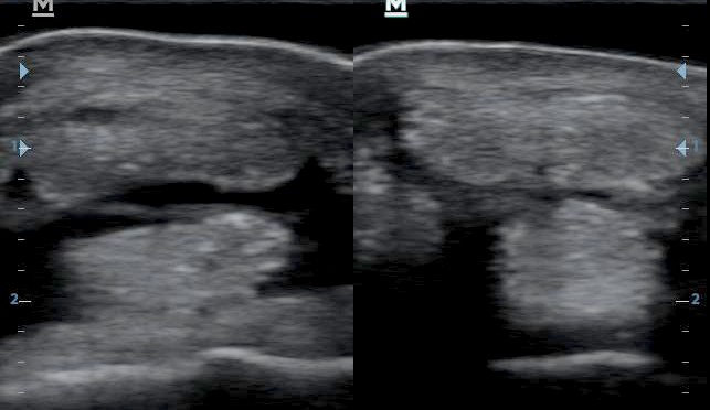
Ki látja az apró sérülést a bal oldali kép bal felső részében? A jobb oldalon az ín ép részlete.
A mérések azt mutatják, hogy a sérült bal oldal jelentősen megvastagodott az ép oldalhoz viszonyítva. Fontos az aszimmetrikus alak felismerése is!

Bal oldalon az ép, jobb oldalon a sérült ínszakasz hosszirányú felvétele. A piros nyíl a sérülést mutatja, itt a fehér, egyenes, erős rostok helyett feketés mező látható. A fehér nyilak az inak közötti rést mutatják. A kettő megkülönböztetése pontos anatómiai ismereteket igényel.
Az ínsérülésekről összefoglalót IDE KATTINTVA olvashat.


